ERİŞKİNLERDE ORTODONTİK TEDAVİ
Ortodontik tedavi için yaş sınırlaması yoktur. Her yaşta ortodontik tedavi yapılabilmektedir. Erişkinlerde tedavi sorasında büyümeden yararlanalamadığı için çene kemiklerinin müsade etmiş olduğu sınırlarda ortodontik tedavi yapılır.
Dişlerinde braketlerin görünmesini istemeyen erişkin hastalar için şeffaf veya diş renginde "estetik braketler" kullanılabilmektedir. Ayrıca dişlerin iç yüzeylerine yaptırılan lingual braketler de üretilmiştir.

Aşırı problemli (sadece ortodontik tedavi ile dişleri düzeltilemeyecek olan) hastalarda cerrahi destekli ortodontik tedaviler uygulanabilmektedir (bkz:Ortognatik Cerrahi).
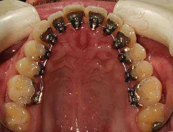
Lingual Braket

Lingual tedavide kullanılan teller, geleneksel metal tedavi tellerine benzer, ancak dişlerin arka yüzeyine takılırlar ve bu sayede görünmemektedirler.
Şeffaf Plak

Şeffaf hareketli plaklarla yapılan, telsiz tedavi olarak da bilinen ortodontik tedavi türüdür. Kişiye özel şeffaf plaklar üretilir, çapraşıklık miktarına göre plak sayısı değişmektedir. Çok karmaşık problemlerde ve çekimli tedavilerde kullanımı biraz daha sınırlıdır.
